Papillion Orthodontics Accessibility Statement

Papillion Orthodontics is committed to facilitating the accessibility and usability of its website, papillionsmiles.com, for everyone. Papillion Orthodontics aims to comply with all applicable standards, including the World Wide Web Consortium’s Web Content Accessibility Guidelines 2.0 up to Level AA (WCAG 2.0 AA). Papillion Orthodontics is proud of the efforts that we have completed and that are in-progress to ensure that our website is accessible to everyone.

If you experience any difficulty in accessing any part of this website, please feel free to call us at 402.597.0020 or email us at info@papillionsmiles.com and we will work with you to provide the information or service you seek through an alternate communication method that is accessible for you consistent with applicable law (for example, through telephone support).

Book Exam

Eating with Braces and Daily Care Tips

Congrats! You are on your way to a more confident smile!

Here are few pointers to help make your journey successful.

Here are few pointers to help make your journey successful.

Taking Care of Your Braces

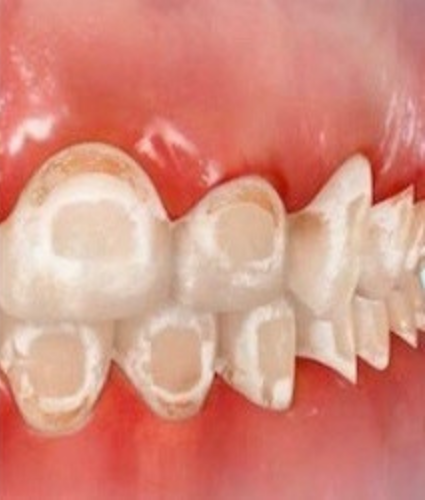
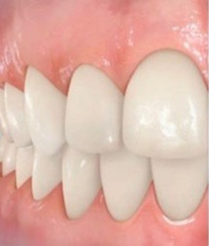
Great Oral Hygiene

Poor Oral Hygiene

Brush 3–4 times each day!

Floss 2–3 times each week and use the proxy brush in between flossing.

Call us when a bracket is loose, broken or if a wire is poking you. Most times we can wait until your next appointment, but sometimes we will want to see you or add more time to your future appointment.

Papillion Orthodontics

Menu